CURE
We contribute to promoting human health.
We are the global leader in stem cell therapies
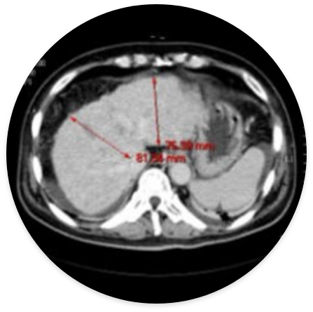
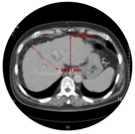
Stem cell therapy of cirrhosis is an advanced treatment method that allows stem cells to regenerate into damaged liver cells. The patient's own stem cells are injected directly into the liver artery to be relatively safe from the risk of human immune rejection. The transplanted stem cells are regenerated into new liver tissues to soften the hard liver, ascites disappear, and improves the structural function of the liver.


SOURCE <Kintaro Cells Power International>
Liver cirrhosis (male 59 years old)-After treatment, hepatocytes are regenerated to increase the size of the liver and soften the liver tissue